What Causes A COPD Flare-up? There Are Many Possible Causes

Background

Many, if not most, indiviudals with COPD have experienced a flare-up or worsening of shortness of breath and/or cough which may be productive of mucus or phlegm. The medical word for a flare-up is an exacerbation. Generally, the causes of a flare-up include a respiratory infection, either viral or bacterial, and environmental – such as inhaling pollutants in the air. However, other medical conditions can mimic a flare-up that need to be considered by your health care professional.

Why is this important? 

Because correct treatment depends on identifying the exact cause of your worsening repiratory symptoms. Knowing about the various causes of a flare-up enables you to assist the health care professional in evaluating your situation, ordering tests, and recommending treatment.

Review Article

In the May 1, 2023, issue of the American Journal of Respiratory and Critical Care Medicine (volume 207; pages 1134-1144), Dr. Bartolome Celli and colleagues authored a “Concise Clinical Review” of the possible causes for a COPD flare-up or exacerbation. The authors recommend a standard approach which starts with a careful medical history and physical examination.

The authors divide the possible causes into four categories:

  • Cardiovascular (heart related)

  • Infections

  • Inflammatory

  • Other [anxiety or panic attack, pneumothorax (rupture of air into the space around the lung), and pleural effusion (fluid in the space around the lung)]

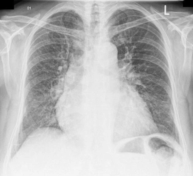
Frontal chest xray shows enlarged heart and patchy shadows in the lungs due to heart failure

For example, heart failure can cause worsening of shortness of breath due to backup of fluid into the lungs due to impaired pumping function of the heart. Generally, heart failure can occur in 20% of individuals with COPD due to overlapping risk factors (aging and history of cigarette smoking). An irregular heart rhythm, such as atrial fibrillation, can cause shortness of breath without necessarily leading to heart failure. Additional symptoms may include atypical chest discomfort, palpitations, and lightheadedness.

Pulmonary embolism (a blood clot traveling to the blood vessels of the lungs) can also mimic a flare-up up.

Infectious causes of a COPD flare-up include acute bronchitis (involves the airways or breathing tubes) and pneumonia (involves the alveoli or air sacs of the lungs). This may be due to bacteria (the person may cough up yellow or green mucus) or viral [COVID-19, influenza, respiratory syncytial virus (RSV)] and sputum may be clear or gray.

My Comments

By understanding the possible causes of a COPD flare-up, you are able to provide important information (symptoms, possible exposures, current medications, history of other health problems) to assist the health care professional in figuring out the reason for your flare-up.

Testing depends on possible causes being considered by the health care professional. Checking your vital signs (heart rate and blood pressure) along with measuring your oxygen saturation are essential first steps in the evaluation. A chest xray is commonly ordered because it can usually confirm the presence of heart failure (see image above), pneumonia. pneumothorax, and pleural effusion along with other possibilities. An electrocardiogram (ECG) may be ordered if it is supected that you have had a heart attack (along with blood tests) or to evaluate for possible irregular heart rhythm.

Finally, it is important for you to have an ACTION PLAN if you experience worsening of breathing and/or coughing.

COPD Action plan


Previous
Previous

Are You Taking the Right Inhaler? A Personalized Approach

Next
Next

Benefits Of HIIT Exercise In COPD: Less Shortness of Breath and Better Fitness